AL·LUCINANT: Li extreuen una ampolla d'oli d'oliva de l'anus en un hospital de Barcelona

28 de novembre de 2022 a les 16:34h

Sorprenent història la que va succeir el passat cap de setmana a un hospital de la ciutat de Barcelona. Un home va presentar-se a urgències amb molèsties estomacals a causa d'una pràctica sexual que havia realitzat.

Un cop efectuades les proves mèdiques, el personal sanitari que va atendre aquesta persona va determinar que el mal en qüestió es generava a causa de la presència d'un cos estrany, el qual va resultar ser una ampolla d'oli d'oliva verge extra de 250 ml.

Segons els especialistes, aquesta acció li podria haver causat una obstrucció i una possible infecció. No obstant això, la seva vida estava fora de perill.

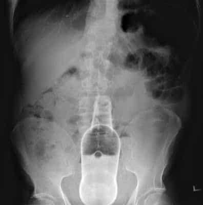
*La imatge de la notícia és una rèplica, ja que per protecció de dades i intimitat del pacient, aquesta no pot ser pública.

Sobre l'autor
C CIUTAT
Redacció
Veure biografia
El més llegit