Un recent estudi de l'Institut de Recerca de l'Hospital del Mar mostra que el consum de cànnabis s'associa amb un increment de la inflamació cerebral, fet que pot influir en la capacitat terapèutica dels tractaments antipsicòtics.
El treball ha analitzat imatges de ressonàncies magnètiques cerebrals d'un centenar de persones, tant pacients que havien patit un primer episodi psicòtic com voluntaris sans, mitjançant una nova tècnica que mesura l'aigua lliure extracel·lular. És el primer estudi que fa servir aquesta tècnica per estudiar l'efecte del consum de cànnabis en psicosi.
Els resultats els publica la revista Molecular Psychiatry i reforcen la recomanació de no consumir cànnabis en persones amb trastorn psicòtic.
Les persones que pateixen un primer episodi psicòtic i consumeixen cànnabis presenten més inflamació cerebral que aquelles que pateixen el mateix trastorn, però no consumeixen aquesta substància. Un efecte que és el contrari del que passa en el cas de les persones sanes.
Aquest fet pot explicar la menor capacitat terapèutica dels tractaments que es fan servir en aquest trastorn en persones que consumeixen cànnabis, segons indiquen els resultats d'un estudi encapçalat per un equip de l'Hospital del Mar Research Institute, que publica la revista Molecular Psychiatry.
El consum de cànnabis és un dels factors de risc de psicosi més ben documentats, així com un dels elements que poden influir en l'inici del trastorn. Es calcula que entre el 30 i el 50% de les persones que pateixen un primer episodi psicòtic són consumidores d'aquesta substància.
El nou estudi liderat per l'Institut de Recerca de l'Hospital del Mar ha fet servir per primera vegada una nova tècnica que mesura l'aigua lliure extracel·lular, marcador d'inflamació, en imatges cerebrals obtingudes amb ressonància magnètica de difusió per posar en evidència una associació del consum de cànnabis sobre la inflamació cerebral, un dels factors menys coneguts en la psicosi.

D’esquerra a dreta, Amira Trabsa, Daniel Bergé, Laura Martínez Sadurní
A l'estudi hi han participat 62 pacients diagnosticats de forma recent i 38 controls. I els resultats del treball mostren diferències en la inflamació cerebral entre les persones que pateixen un primer episodi psicòtic en funció de si consumeixen cànnabis o no. Diferències que també es veuen en les persones que no tenen psicosi, encara que consumeixin.
Un fet que, segons el Dr. Daniel Bergé, psiquiatre de l'Hospital del Mar i membre del Grup de Recerca en Neuroimatge en Trastorns Mentals de l'Hospital del Mar Research Institute, "suggereix una associació entre l'ús de cànnabis i alteracions en el sistema inflamatori en els primers episodis psicòtics".
A la vegada, els resultats obtinguts indiquen que el cànnabis pot influir en la capacitat dels tractaments contra la psicosi de reduir aquesta inflamació. En aquest sentit, "la potencial associació del consum d'aquesta substància amb l'alteració de la reducció de la inflamació cerebral assolida gràcies als tractaments antipsicòtics ens ofereix una visió d'un dels possibles factors que influeixen en el baix èxit del tractament en aquests pacients", afegeix el Dr. Bergé.
Els investigadors apunten que l'ús del cànnabis pot estar vinculat a diversos aspectes de la resposta del sistema immunitari que condueixen a una disfunció de la seva resposta. Un factor que pot representar una susceptibilitat més elevada a la psicosi.

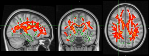
Imatges de ressonància magnètica cerebral que mostren les àrees de la matèria blanca on els canvis en inflamació cerebral associats al tractament antipsicòtic varien segons el consum previ de cànnabis
Davant aquestes conclusions, la Dra. Laura Martínez Sadurní, també autora del treball, psiquiatra de l'Hospital del Mar i investigadora del Grup de Recerca en Salut Mental del seu institut de recerca, explica que "a la pràctica diària ja transmetem als pacients que el consum de cànnabis pot influir en el fet que tinguin més símptomes psicòtics i que l'evolució sigui pitjor".
Ara, però, les conclusions del nou estudi hi afegeixen noves evidències. Així, "el fet de saber que el cànnabis interfereix en l'efecte positiu dels antipsicòtics, ens permet donar de forma més contundent indicacions que el seu consum està contraindicat després d'un primer brot psicòtic".
El treball ha comptat amb finançament de l'Instituto de Salud Carlos III (ISCIII), a través de les convocatòries del Fons de Recerques Sanitàries.